|
 |
|
|
|
|
4・5インプラントで3から6までをメタルセラミックスで修復 |
|
|
|
 |
|
|
|
|
|
 |
|
|
|
上顎フルマウスのインプラント補綴をハイブリッドセラミックスにて修復 |
|
|
|
 |
|
|
|
|
|
 |
|
|
|
術前術後
4・5ともエンプレスクラウン・インレーのオールセラミックスで修復 |
|
|
|
 |
|
|
|
|
|
 |
|
|
|
1・1をエンプレスクラウンのオールセラミックスを使用。右の2をラミネート修復 |
|
|
|
 |
|
|
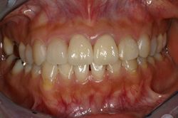
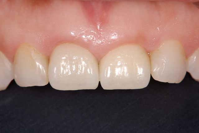
1・1をエンプレスクラウンのオールセラミックスにて修復 |
|
|
 |
|
|
|
7をメタルセラミックス(メタルボンド)にて修復 |
|
|
|
 |
|
|
下顎前歯のインプラント補綴。
メタルセラミックス(メタルボンド)でガム色を使用 |
|
|
 |
|
|
|
4をメタルセラミックス(メタルボンド)にて修復
下図は頬側面観 |
|
|
|
 |
|
|
|
|