<治療症例>
|
神田歯科医院
兵庫県加古川市平岡町新在家1−256−17
TEL 0794−22−2205
歯の移植
<親知らずの移植後20年>10代女性
親知らずを移植して、ちょうど20年経った症例です。
1.移植前(1985年)
 |
第一大臼歯(矢印)がひどい虫歯で、歯肉が、歯の中に入り込んでいます。 |
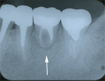
2.移植前(X線写真)
 |
第一大臼歯(赤矢印)は保存不可能で抜歯。
その後に、横向きに埋もれている親知らず(白矢印)を移植することにしました。 |
3.移植10日後
 |
移植しました。 |
4.2ヵ月後
 |
歯髄壊死で腫れてきたため、神経の治療をしました。 |
5.2年後
 |
根尖部の黒い影が、消えないので、
長い間仮歯のまま様子を見ていましたが、
ようやくクラウンをかぶせ、完成させました。 |
6.20年後
 |
20年経ちました。
本人はなんら違和感を感じないそうです。 |
根管治療後、根尖部の影がなかなか消えないので不安があった症例でしたが、
その後, 問題もなく、20年経過しました。
移植歯は、移植後歯髄壊死となりました。
19歳と若い方でしたが、移植時にはすでに歯根がかなり完成していたからと
想像されます。
|