<治療症例>
|
神田歯科医院
兵庫県加古川市平岡町新在家1−256−17
TEL 0794−22−2205
歯の再植
<他の歯医者で抜かれたのを...>
自転車でころび、前歯がグラグラに。
すぐ飛び込んだ歯医者で、上前4本を抜かれてしまい、
その4本を持ち帰り、当院へ。
1.初診時(1985年)
 |
脱臼と破折だけだったのに、4本抜かれてしまった。 |
2.初診当日固定後
 |
神経の治療後、再植、固定しました。 |
3.5ヶ月後
 |
長らく仮の歯をかぶせていましたが、ようやく仕上げました。 |
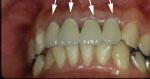
4.1年1ヶ月後
 |
根の中ほどに黒い影が認められます。
歯根吸収が6ヶ月ごろから、始まってしまいました。 |
この間、歯根端切除、キュレット等を試みました。
5.4年後
 |
歯根吸収の激しい右から2番目の歯の
根の部分だけ抜くことにしました。 |
6.6年後
  |
中央の2本は吸収が急速に進み、
右側の歯は、ゆっくりと進み
左の歯は、無事です。
同じ条件でも、経過は様々です。 |
4本のうち、2本は、あまり持ちませんでしたが、
少なくとも、一度に4本の前歯を失うというショックを、
再植により多少なりとも和らげられたのではないでしょうか。
|