Yanto
2000・4・24
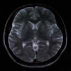
病院で頭部のMRI検査の映像
まったく異常のない健康的な脳断面だったようです。