フレキサイト義歯[No.05]

西川デンタルクリニック

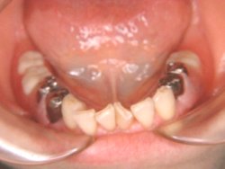
下顎のフレキサイト義歯
作製したフレキサイト義歯と歯の模型
左が義歯を装着する前の口腔写真

右がフレキサイト義歯を装着した状態
今までの義歯を装着 フレキサイト義歯を装着した状態 フレキサイト義歯を装着した状態
左上4番のフレキサイト義歯は、No.2で紹介した症例です。


[2002.07.18]