西川デンタルクリニック
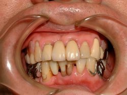
| 上顎の金属床フレキサイト義歯 |
![]() |
![]() |
![]() |
| 今までの義歯を装着した状態 | 新旧の義歯の比較 | フレキサイト義歯を装着した状態 |
![]() |
![]() |
![]() |
| フレキサイト義歯装着状態 | ||
![]() |
![]() |
![]() |
| 上顎に金属床を使っています。最も床を薄く丈夫に作る作製方法です、口腔内での違和感が軽減されます。 歯肉部にフレキサイトを使用することによって、クラスプが無くなり、唇に触れる違和感が消え、義歯の装着が 他人に気付かれずにすみます。 |