
デンタルX線の高画質・高解像度Digital化
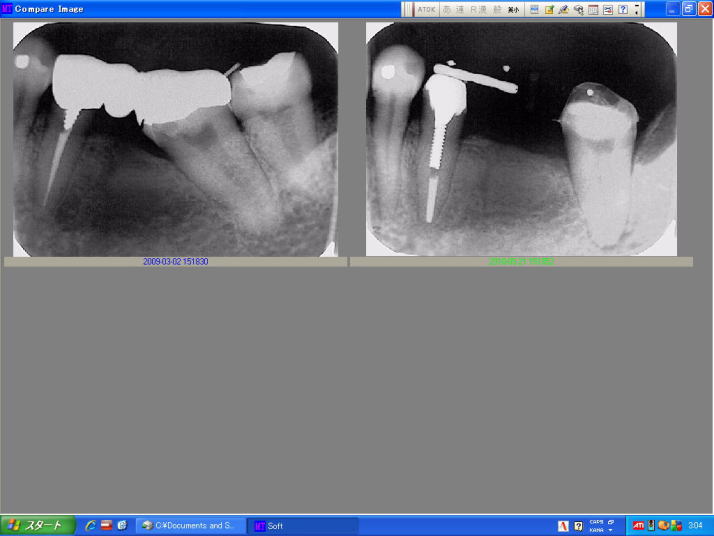
Client(Wireless LAN)         Serverでの画像診断は、Dual Monitorで効率よくできる          経時的比較が容易
                      (Flex Scan S1961:NANAO19Inch)            
(800×600Pixels.48.0KB)
 デンタルX−線は世界中で使用されている最も基本の診断レントゲンである。 安価で安易に撮影でき、多くの情報を含んでいることをDigital化で再認識して頂きたい。
より高いレベルの診断を求める歯科医や高額投資をせずに、現今のDigital化に少しでも近づき、患者に対してイメージアップを計りたいClinicには最適である。
                         
                    診断・System導入・問い合わせは当Clinicへ ![]()