


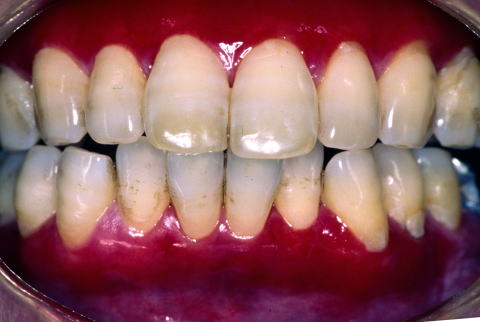
(図4)6月14日。ステロイド、漢方薬など一切使用せずに、約2週間で完治

(図3)6月9日。80%治癒。本人は完治と思っているほど、
      臨床症状は無くなった。Sandwich Irra-diation

★30年来ステロイド剤療法以外に進歩がない難治性と言われている扁平苔鮮にも大いに期待できる。出現後、できるだけ早期に加療を始めるのが基本である。火災の消火活動と全く同様で、初期症状の出現状態の時点で徹底的に封じ込める。発現後長期にわたる症例は、難治性になりDiathermy効果が発現しない★
患者:67歳、女性 
  医療面接:特記事項なし。
  診断および治療経過:単純ヘルペス(Herpes simplex )。
  2008年1月28日;カゼで熱を出した後、発症(再発)。”風邪の花(華)”、“熱の花(華)”と思い(実はヘルペス)、オロナイン(グルコン酸クロルヘキシジン)を塗布していた。傷口に消毒薬では治癒しない。10日後の状態(図1)。
  ワセリン 塗布後、Tegaderm TM Hydrocolloid Thin でMoist wound treatmentをし、内科的Diathermy。LDDS、Moist
wound treatmentとDiathermyの三者併用療法を行う(図2)。
  2008年1月30日;ワセリン(Moist wound treatment)と内科的Diathermyのみ。ワセリンをたっぷり塗布し、乾燥を防ぐと痂皮は自然融解し、跡形が残らない(図3)。
  2008年2月28日;まったく痕跡なく治癒(図4)。
  
著書“Diathermy”の著作権侵害となるため、禁無断転載・複写。
★抗ウイルス薬・消毒剤・抗生物質など使用しなくても、ラジオ波で跡形無く治癒する。あなたはどちらを選択しますか?★
 39年間当Clinicで口腔管理をしている患者が、2~3ヶ月前から咬傷(?)後、頰粘膜に白斑が発症。以後、消失すること無く継続していると訴える。9日間物理療法を主とした加療で症状変化を観察したが、著明な変化を認めないので、臨床所見から“Leukoplakiaの疑い”で、大阪の基幹総合病院(口外)に病理検査と加療を依頼した。術後、想定外の実質組織欠損とその後の抜糸後の大出血と精神的ストレスでQOLが著しく低下した。化学療法を一切用いずDiathermy、Moist wound treatmentとHSP産生の併用療法で急速に創傷の回復ができた。
  
  患者:75歳、男性
  医療面接:狭心症Ope(Stent)(2008年)、狭心症Ope(Stent)(2009年)、大腸Polyp Ope(2010年)、高血圧、脂質異常症があり、加療中。
  服用薬剤:ニコランジル、レバミピド、ワソラン、パナルジン、バイアスピリン、アルトバスタチン、アムロジン、ランソプラゾールOD。
  
  診断および治療経過:
  2016年7月29日;SPT(Supportive Periodontal Therapy)最中に、筆者が“白斑”に気付く。
  
  2016年9月15日;頰粘膜白板症(L)の切除生検(摘出生検)。無投薬(大阪基幹総合病院口外)。
  
  2016年9月23日;抜糸。
  
  病理組織診断:LEUKOPLAKIA WITH MILD TO MODERATE EPITHERIAL DYSPLASIA
  “表層部で角化の更新を呈する上皮には、核種大や核小体の明確化などの所見を示す軽度から中等度の上皮異形成の変化が見られます”
  
  2016年9月25日;深夜(12:00am)睡眠中に大出血。受診病院に連絡後、出血を押さえながら自走(40min運転)。主治医が縫合、止血処置(Hot Knife)、投薬剤(-)、含嗽(-)。大出血は抗凝固剤服用中、高血圧さらに切除が広範囲に及んでいることが原因と思われる。その後、出血は無いが、創傷に触れるのが恐怖でブラッシングと摂食が充分できない状態が続いている。
  
  2016年9月29日;当ClinicでFollow Up開始。内科的Diathermy(以後、内Diathermy)、ブラッシング、PMTC開始。
  
  2016年10月3日;VAS:6/10、内Diathermy。
  
  2016年10月6日;VAS:3/10、内Diathermy。
2016年10月11日;VAS:2/10、内Diathermy。
  
  2016年10月14日;VAS:0/10、疼痛および違和感は全く消失。
  
  2016年10月21日;内Diathermy。
  
  2016年11月14日;Follow Upのみ。
  
患者:73歳、女性
  医療面接:糖尿病、胃炎、高血圧(160/100㎜ Hg)、アルコール・卵でアレルギー反応が出る。うっ血性心肥大、狭心症、脊髄梗塞があり、白内障手術、左変形性膝関節症の手術などにより、約10種類の薬を服用している(デゾラム、ウルデナシン、ガスモチン、アルセチン、ジブキシサンド、アプレース、ディオパン、エペナルド、ガスポート、ケンタン)。
  診断および治療経過:
  2007年5月30日;右臼後三角、齦頰移行部、頰粘膜にわたる扁平苔癬(Lichen Planus、図1)。食事時が苦痛でQOLの低下が著明。病変部をオゾン水で洗い、内科的Diathermy透射。投薬は一切していない。
  2007年6月1日;病変部と外表部からSandwich Irradiation(サンドイッチ透射)、10分(図2)。
  2007年6月4日;「お陰様で」と言われるようになった。約50%治癒(VAS:5/10)。わさびやその他の香辛料でも痛みを感じなくなった。サンドイッチ透射、10分。
  2007年6月9日;約80%治癒(図3)。Sandwich Irradiationで思わぬ効果が出現。Dry Mouth(ドライマウス)が治ってきたのである。多剤服用患者によくみられる現象だが、いままで睡眠時に枕元に200mlの水を置き、夜中に口渇が出ると、1~2時間おきに水を飲んでいたのが不要になり、朝まで熟睡できるというのである。これは、右側耳下腺・顎下腺付近に同時に透射されているためで、Dry
  Mouthの治療が同時に行われたことによる。おかげで安定剤、睡眠剤を服用しなくてもよくなった。
扁平苔癬(Lichen Planus)
 大別すると網状型と紅斑型に分かれる。
  ●網状型:僅かな隆起と白い網目状の粘膜表面の角化が特徴。頰粘膜、絶縁が好発部位で、歯肉部分は少ない。内科的Diathermyが良く反応する。舌感で少し粘
   膜表面の荒れた感じや、カミソリで切ったようなヒリヒリ感が初期症状。                   
  ●紅斑型:疼痛や時には灼熱感を伴う場合があり、QOLが著しく低下する。長期経過症例ではDiathermy効果が少ない。 
(図2)Sandwich Irradiation。病変部を中心に両側から挟むように透射する


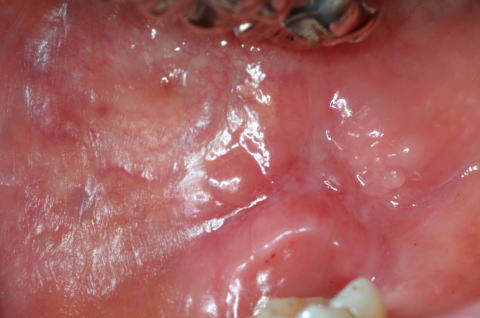
図(1)初診時(2007年5月30日、73歳。典型的なReticular Type(網状型)で、出現後1カ月以内。粘膜角化病変の一つである
患者:61歳、女性
  医療面接:総コレステロール(280)、動脈硬化指数(5.0)、その他特記事項なし。
  診断および治療経過:三ヶ所の歯科医院、内科、某国立大学医学部皮膚科でのパッチテストを受ける。その後、同大学歯学部口腔外科で計13年間加療。ステロイド、漢方その他すべてに効果無く、アズレンスルホン酸ナトリウム・炭酸水素ナトリウム(含嗽用ハチアズレ)のみ痛みが少なく含嗽可能。その他の含嗽剤は疼痛のため使用できない。月一回の受診日には、担当医は避けるような表情を取る。当Clinicの内科的Diathermyを求めて来院。
どの様な口内炎でもレントゲン撮影。硬組織疾患を検査し、口腔内のPlaque Controlが基本である

 Erosive Type(紅斑型)
       
      扁平苔癬の中でも最も難治性の高いErosive Type(紅斑型)で、本症例では幸い皮膚に症状が無いが、多くは皮膚にも苔癬症状が併発する場合が多い。歯槽部歯肉全体にErosionが拡大し、疼痛のため、Plaque
  Controlができず口腔衛生状態がきわめて悪くなる。
      

(図2)同日、Tegaderm Hydrocolloid Thinで傷の乾燥を防ぎ内科的Diathermy透射。あとは洗顔も可能になる

(図1)初診時(2008年1月28日)、67歳。発症後10日後
      の状態。水泡が破れ、痂皮を形成し始めている。このまま
      では、跡が残りやすい

(図4)約1ヶ月後(2月28日)。通常見られる色素沈着は残っていない

(図3)2日目(1月30日)。臨床症状は無くなっている

白板症(Leukoplakia)


★LWD(Long Wave Diathermy)の生物学的作用を十分活用し、さらに全身および局所を約2℃上昇させてHSPを産生させ、さらに“湿潤療法”を併用することで、従来の化学療法・薬物療法を中心とした傷の治療法では考えられないスピード(約3倍)で治癒する。このことは、日常の抜歯、切開、その他の口腔内の手術にも応用できる。★