![]() ![]() |
![]() 2003年7月12日、24週5日のむちゅ姫、その2。 顔面の様子。頬杖ついてるのか? 目が上のまぶたと下のまぶたに分かれている様子もよく分かる。 |
|
![]() 2003年7月12日、24週5日のむちゅ姫、その1。体全体の断面。 BPD=64.0mm、1日分大きい。 FL=45.3mm、1週間分長い。なんで足だけそんなに!? FTA(fetal trunk area:躯幹横断面積)=32.7cu、2日分大きい。いわゆる腹囲。 FEBW(estimated fetal body weight:推定胎児体重)=855g、2日分大きい。 ちなみにむちゅ姫の向かって上は私のおなか… 脂肪は薄いというか、全然ついてないように見えるんだけど…そのせいか胎動が見えたり。 |
|
![]() 2003年6月21日、21週5日のむちゅ姫、その2。 顔面の様子。指までハッキリ。 両手を顔の前で「しあわせ〜」にしてたもんだから、 おなかの上から手をどけさせて何とか撮ったもの。 |
|
![]() 2003年6月21日、21週5日のむちゅ姫。これは正面向きかな? BPD=55.2mm、2日分大きい。 FL=35.9mm、3日分長い。やっぱり足のほうが長い… でも標準の範囲なので大丈夫。頭が下の頭位になったし。 胎盤は私のおなか側に着いてて、微妙に低いものの問題なし。 |
|
![]() 2003年5月24日、17週5日のちびちゃん。 BPD=40.3mm、2日分小さい。 FL(大腿骨長:femur length)=24.6mm、3日分長い。…小顔足長美人!?(笑) でも今、実は逆児。よくあることです。時々大きく回転してるし… ちなみにやたら首が長く見えるのは胎児が暴れてたせい。 |
|
![]() 2003年5月2日、14週4日のちびちゃん。 BPD(児頭大横径:biparietal diameter)=31mm、1日分大きい。 左の丸い部分が頭、その右に続いて胴体、胴体のわきの丁度肩あたりの位置に肩。 腰のあたりまでが写ってるわけかな。 |
|
![]() 2003年4月26日、13週5日のちびちゃん、その2。 手を口に…というのはよく聞くけど、これは手を頭に…? 掻いてるのかな??(笑) |
|
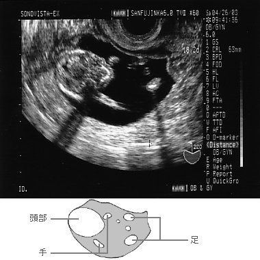
![]() 2003年4月26日、13週5日のちびちゃん、その1。 CRL=63mm、体の丸め過ぎで3日分小さめ。 なかなか可愛くとれてるかな?(笑) |
|
![]() 2003年3月29日、9週5日のちびちゃん。 CRL=25mm、週数とばっちり同じ大きさ。 実は下が頭。 |
|
![]() 2003年3月8日、6週5日のちびちゃん。 GS=16mm、平均値としては5週6日くらいと小さめ。 横の目盛りは1マス1cm。 |